痛みの”原因”がわかる
体の内部構造を詳しく見ることで症状の原因を正確に把握できるようになります。MRIは目には見えない体の中の異常を画像で見せてくれるためムダな治療や誤った診断を避け、患者様にとって最適な治療方法を選ぶことができます。

見えない痛みの原因を
”見える化”する
精密MRI検査で正確な診断をー。
以上のような症状がある方は
MRI検査で原因が
わかることがあります。
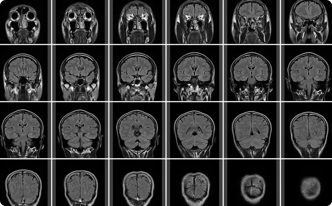
MRI(Magnetic Resonance Imaging)検査とは放射線を使用せず、体内の状態を可視化できる画像診断法です。
磁気と電波によって体のあらゆる部位の情報を画像として映し出します。レントゲンやCTと異なりX線による医療被曝はありません。
従来のレントゲンは2次元の画像で骨や硬い組織の診断に適しているのに対し、MRIでは3次元の画像を生成し軟部組織の異常を詳細に調べることができます。X線やCTスキャンでは見えない軟部組織の細かい構造や状態を詳しく見ることができるため、靭帯損傷などの怪我や関節炎、腱鞘炎など整形外科で多く見られる疾患の有無を確かめる上でとても有効な検査のひとつです。
また、放射線被ばくの心配がなく特に子供や妊婦さんへの使用など、安全性が高いことが利点です。
MRI検査では、主に以下のような
疾患・怪我を発見することが可能です。
検査により正確な診断に役立てることができます。
体の内部構造を詳しく見ることで症状の原因を正確に把握できるようになります。MRIは目には見えない体の中の異常を画像で見せてくれるためムダな治療や誤った診断を避け、患者様にとって最適な治療方法を選ぶことができます。
一般的にレントゲン(X線)で映るのは”骨”だけで筋肉、靭帯、腱、椎間板、神経などの軟部組織はほとんど映りません。MRIは骨以外の組織も鮮明に映し出すことができるため、レントゲンで異常がない場合の原因究明に役立ちます。
保存療法で良くなるのか、それとも手術が必要な状態か、という治療方針を見極めるための大きなヒントになります。「すぐに手術するのではなく、まずは正確な状態を知ってから治療法を選びたい」そんな方にもMRI検査は非常に有効です。
MRIは、磁石と電波を使って撮影する検査です。レントゲンやCTとは異なり、放射線による被ばくの心配がありません。小さなお子さまや妊娠中の方、何度も検査が必要な方にも身体への負担が少なく安心していただけます。
MRI検査の大きなメリットは、自分の身体の状態を画像で見て医師から説明を受けられることです。自身でしっかりと原因を理解できると、安心感に繋がり不安が軽減される方も多く「これから何をすればよいのか」が明確になります。
TOBU整形外科では最新のMRIを導入しています
当院では整形外科領域の診断制度をさらに高めるために、高精度かつ身体への負担も少ない最新の1.5T(テスラ)MRI装置を導入しています。
高感度の専用コイルを使用し関節などの細かい部位までも高精度に撮影。レントゲンやCTでは確認できない微細な損傷も診断可能に。
従来のMRI装置に比べ、撮影技術の向上により高速化を実現。より短時間での検査が可能になり、また静音性にも優れ負担の少ない環境で検査を受けていただけます。
当院へ初めてお越しになる方は、受付に健康保険証と、紹介状をお持ちの場合は提出してください。
お身体の状態を確認するために医師が診察を行います。
MRI検査が必要と判断した場合、検査の計画をたてます。(当日あるいは別日)
MRI検査を受ける前に、問診票をご記入ください。
安全に検査を受けていただくために更衣室で検査着に着替えます。
検査室でMRI検査を受けます。時間の目安は部位により異なりますが概ね15分~30分です。
検査結果を医師より説明いたします。(当日あるいは別日)
次のような方は検査を受けられないことがあります。
必ずスタッフに申し出てください。
下記に該当する方も検査の実施が
難しい場合があります。
事前に医師またはスタッフへご相談ください。
心臓ペースメーカーが入っている方や閉所恐怖症の方は検査が受けられない可能性があります。また、体内に金属がある方や、全身にタトゥーが入っている方などは事前に相談が必要です。
目を瞑っていただいていても問題ございませんが、身体が動いてしまうと画像が乱れるため、検査中は可能な限り同じ姿勢を保っていただく必要があります。
検査自体に痛みはありません。しかし、長い時間同じ姿勢を保つ必要があり、また、検査中の機械の動作音が非常に大きいため、不快に感じる場合があります。
検査部位により異なりますが、一般的に15分から30分程度です。
医師の診察の結果、MRI検査が必要と判断した場合に予約を取らせていただきます。空きがあれば同日検査を行うことが可能ですが、混雑状況により別日になる可能性があります。
検査部位によって異なりますが、一般的に3割負担で5000円~10000円程度です。